Skip to main content

Leg/Knee Case 1 Additional Images

Tibial Plateau Fracture

Another example of a tibial plateau fracture. Be sure to look closely at the knee films as this injury is the most common knee fracture in adults.

This is another example of a tibial plateau fracture, this one being a severely comminuted and displaced version.

This xray is the lateral projection of the film directly above this one. The fracture and displacement of the tibial plateau is more appreciable in this view.

This film comes from a 47 year old woman who missed a step coming off of the bus and presented to the emergency room with right knee pain with a significant effusion. There is a depression of the lateral tibial plateau as indicated by the arrows.

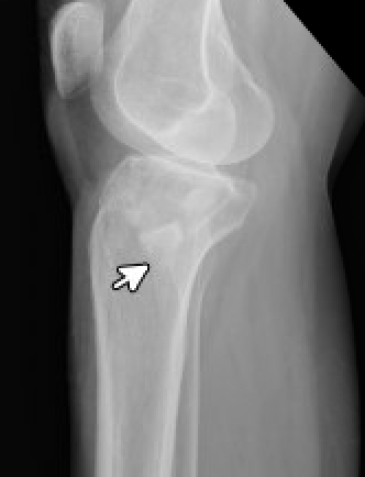
This patient demonstrates another tibial plateau fracture.

 tibial plateau fracture

 

 

 

Tibial plateau fracture

This final image shows another tibial plateau fracture with the associated CT scan. The CT scan will better demonstrate the displacement and depression after plain films diagnose the fracture.