Pelvis/Hip Case 7 Additional Images
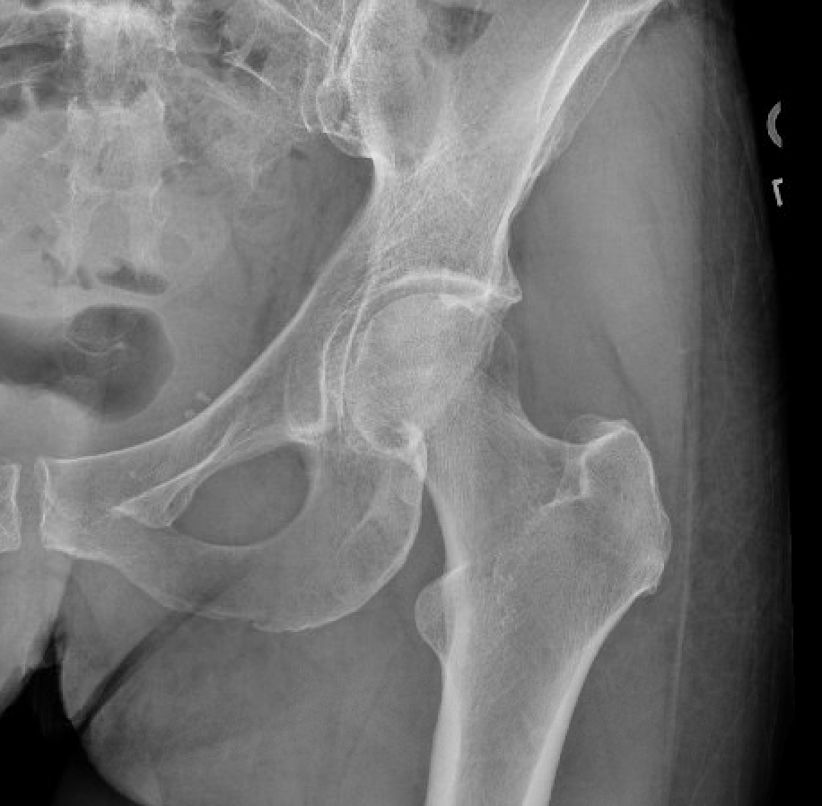
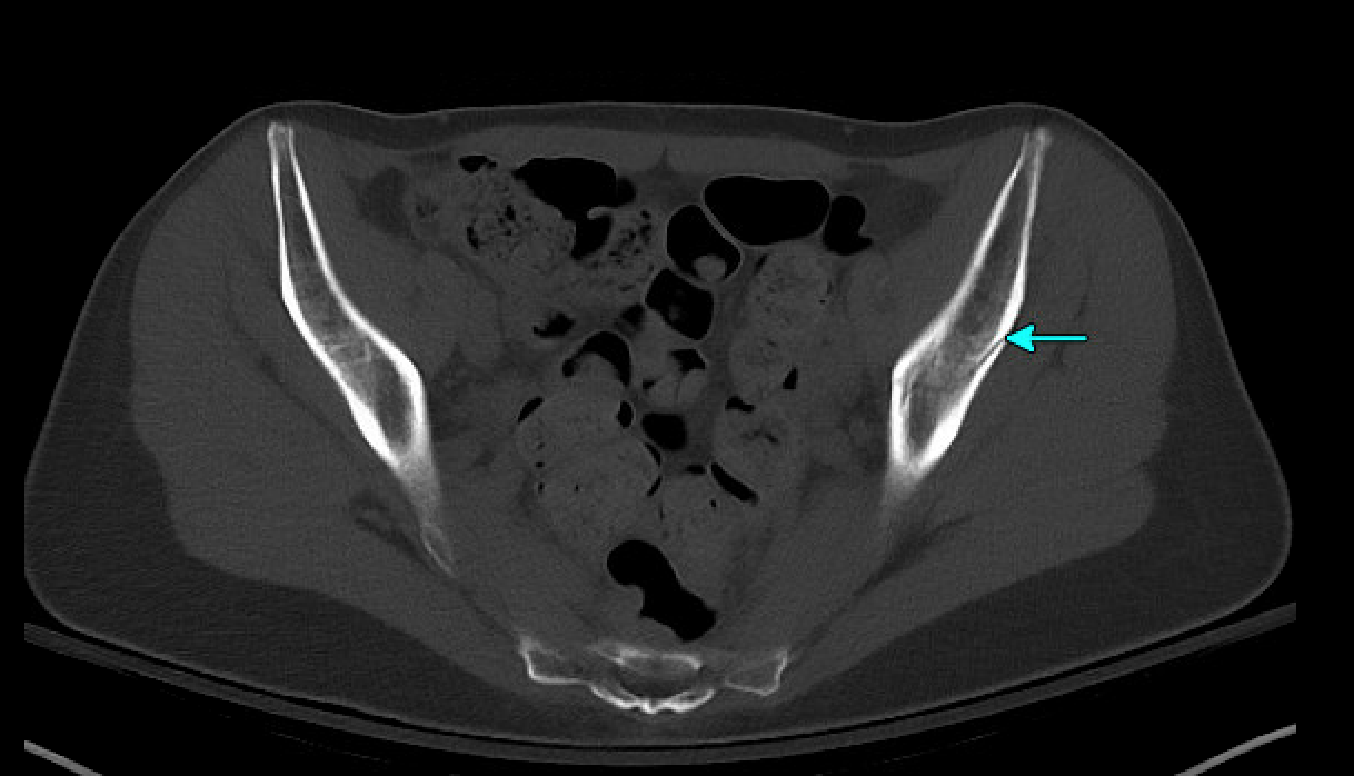
Below is another example of the initial x-rays of a patient who suffered a fall and was unable to walk.
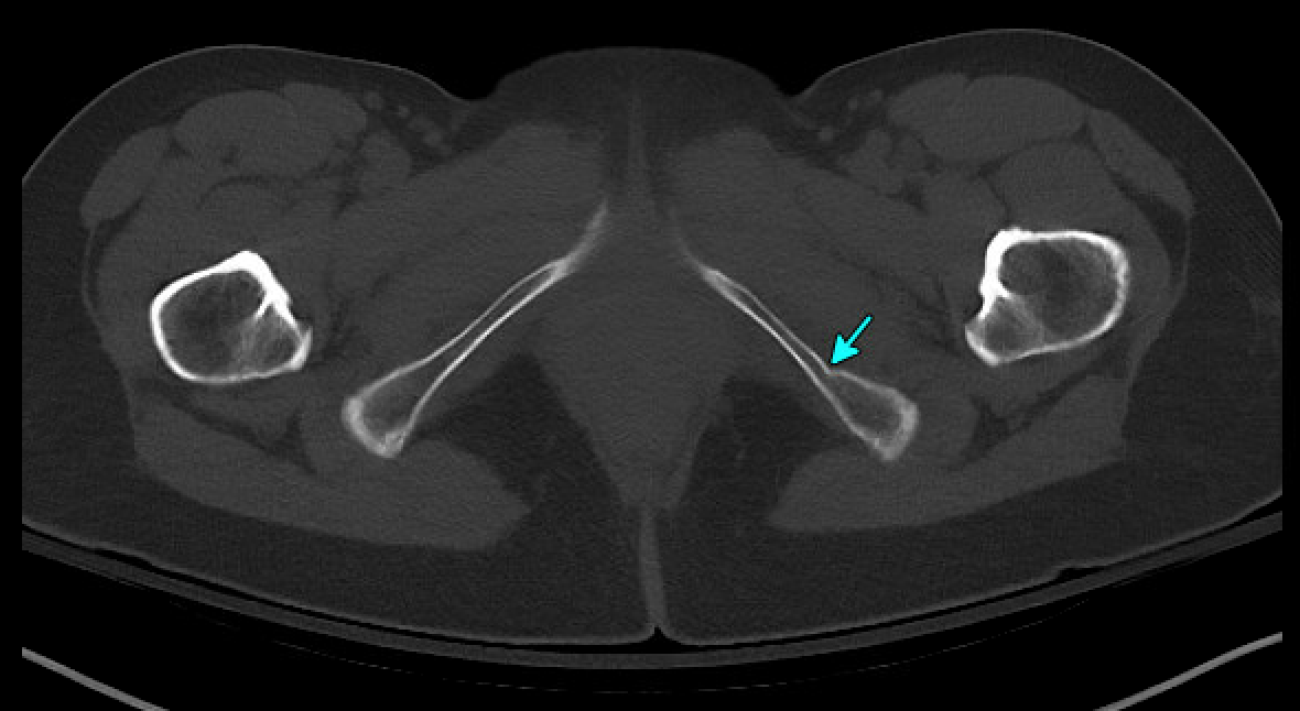
CT later confirmed fractures involving the left acetabulum and ilium, and bilateral pubic rami.
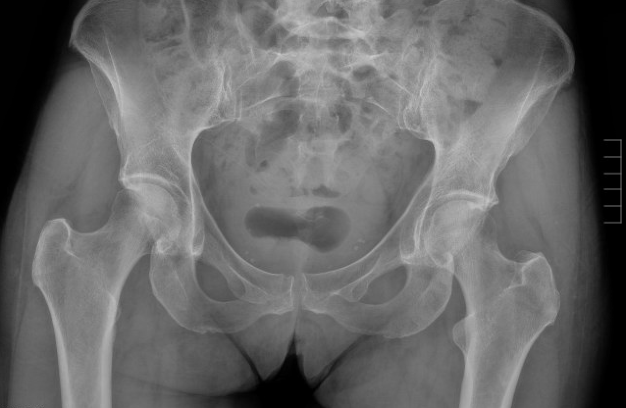
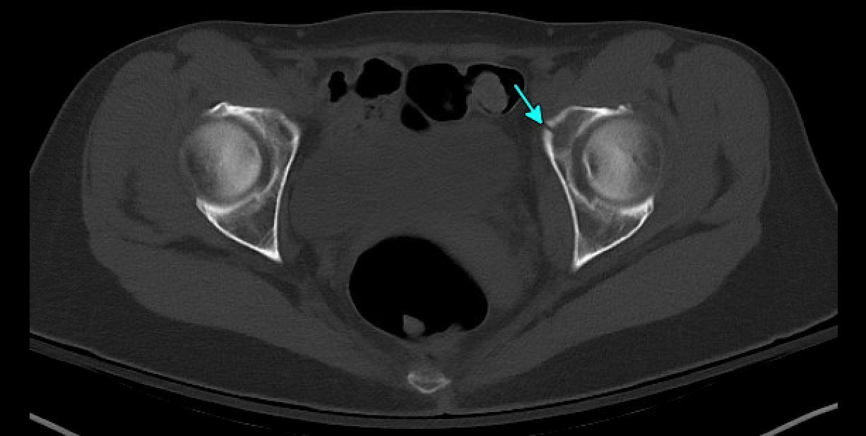
Below is another example of the initial x-rays of a patient who suffered a fall and was unable to walk.
CT later confirmed fractures involving the left acetabulum and ilium, and bilateral pubic rami.