Skip to main content

Soft Tissue Case 9 Additional Images

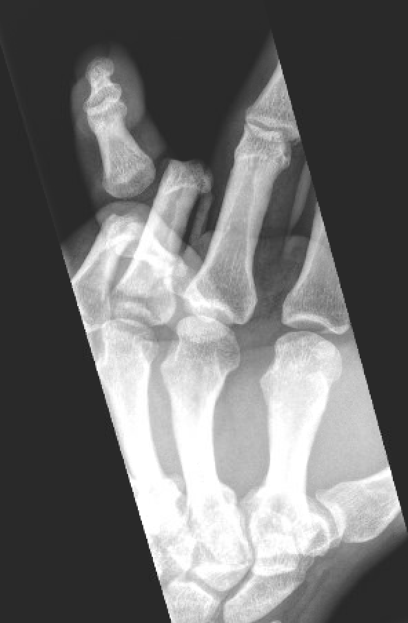
The images below demonstrate an open fourth digit proximal interphalangeal joint dislocation. 

 

open finger dislocation open finger dislocation